Le tartre dentaire est un problème bucco-dentaire fréquent qui touche un large pourcentage de la population. Ce dépôt calcaire, qui se forme sur les dents, est souvent le résultat d’une accumulation de plaque dentaire non éliminée. Comprendre sa formation, ses risques, et les moyens de prévention est essentiel pour préserver la santé de votre sourire. Les conséquences de la négligence en matière d’hygiène bucco-dentaire peuvent être graves et même entraîner des complications à long terme sur la santé générale. Les informations pertinentes sur le tartre dentaire soulignent également l’importance des soins dentaires réguliers et des visites adaptées chez le dentiste. Explorons en profondeur la nature, les impacts et les stratégies de gestion du tartre dentaire en ce qui concerne la santé bucco-dentaire.
Qu’est-ce que le tartre dentaire ?
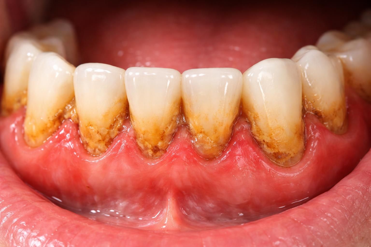
Le tartre dentaire est un dépôt dur et minéralisé qui se forme sur la surface des dents et sous les gencives. Sa formation commence par la plaque dentaire, un biofilm constitué de bactéries, de débris alimentaires et de protéines salivaires. Lorsqu’elle n’est pas éliminée par un brossage des dents efficace, la plaque dentaire subit un processus de minéralisation qui donne naissance au tartre. Ce processus peut se déclencher dans un délai de 24 à 48 heures après l’accumulation de plaque.
Le tartre dentaire se compose à environ 70% à 80% de matière inorganique, notamment de cristaux de calcium et de phosphate, présents dans la salive. En général, on distingue deux types de tartre :
- Tartre supra-gingival : visible au-dessus de la ligne des gencives, il est généralement de couleur jaunâtre ou blanchâtre, se colorant au fil du temps sous l’effet d’aliments pigmentés.
- Tartre sous-gingival : situé en dessous de la ligne gingivale, son apparition est plus difficile à identifier sans un examen dentaire professionnel. Ce tartre est souvent plus foncé et peut facilement aggraver l’état de santé bucco-dentaire.
Les dents les plus susceptibles de développer du tartre sont celles proches des canaux excréteurs des glandes salivaires, notamment la face interne des incisives inférieures et la face externe des molaires supérieures. Des facteurs comme le tabagisme, une hygiène bucco-dentaire déficiente, des traitements orthodontiques, ou encore certaines pathologies comme le diabète peuvent augmenter la probabilité de formation de tartre.
Les symptômes associés au tartre dentaire
Identifier la présence de tartre dentaire est crucial, car cette condition peut conduire à des problèmes bucco-dentaires plus graves. Les symptômes sont souvent visibles et peuvent inclure des dépôts blanchâtres sur les dents ainsi qu’une mauvaise haleine persistante. Le tartre se forme généralement d’abord sur les incisives inférieures, puis peut s’étendre à d’autres dents si aucune intervention n’est réalisée.
Par ailleurs, une inflammation des gencives accompagnée de saignements lors du brossage ou de l’utilisation de fil dentaire peut survenir. Si la situation n’est pas traitée, le tartre peut favoriser l’apparition de caries, de gingivites et même de parodontites, ces dernières pouvant entraîner à long terme des complications systémiques, y compris des maladies respiratoires et cardiovasculaires.
Les symptômes peuvent être classés comme suit :
- Accumulation de dépôts blanchâtres sur les dents.
- Mauvaise haleine persistante (halitose).
- Saignements des gencives lors du brossage.
- Douleurs dentaires et sensibilité accrue.
Risques associés au tartre dentaire
Le tartre dentaire n’est pas qu’un simple problème esthétique ; il peut également engendrer des risques significatifs pour la santé bucco-dentaire et générale. L’accumulation de tartre favorise en effet la prolifération de bactéries pathogènes dans la bouche, contribuant ainsi à l’apparition de maladies dentaires et de complications potentielles.
Parmi les risques associés au tartre, on note :
| Risques | Conséquences |
|---|---|
| Gingivite | Inflammation et saignement des gencives, souvent réversible avec des soins appropriés. |
| Parodontite | Infektion plus sérieuse pouvant causer des pertes osseuses et la perte de dents. |
| Caries dentaires | Développement de cavités sur les surfaces dentaires, favorisé par un environnement acide. |
| Halitose | Mauvaise haleine chronique causée par des bactéries sur le tartre. |
Il est primordial de surveiller l’évolution de la santé bucco-dentaire pour prévenir ces complications. Ne pas traiter le tartre dentaire peut également être lié à des maladies systémiques, comme le diabète et les maladies cardiovasculaires. La corrélation entre ces maladies et la santé bucco-dentaire doit inciter les patients à accorder une attention particulière à leur hygiène bucco-dentaire.
Diagnostic et traitement du tartre dentaire
Le diagnostic du tartre dentaire est généralement réalisé par un chirurgien-dentiste, qui observe visuellement les dépôts sur les dents. Aucune procédure complexe n’est nécessaire, bien qu’un examen approfondi puisse inclure des radiographies en cas de complications associées. Les patients présentant des signes de maladies parodontales peuvent bénéficier d’une évaluation plus approfondie.
Le traitement principal du tartre est le détartrage, une procédure que le dentiste effectue pour retirer les dépôts calcifiés. Cette intervention est réalisée en cabinet dentaire et peut être effectuée à l’aide de techniques manuelles ou ultrasoniques. Les deux approches présentent leurs avantages :
- Détartrage manuel : utilise des outils de curettage pour retirer le tartre, offrant un contrôle et une précision accrue.
- Détartrage ultrasonique : emploie des vibrations à haute fréquence pour fragmenter le tartre avec efficacité, tout en assurant un confort pour le patient.
Après le détartrage, le dentiste réalisera généralement un polissage pour lisser la surface dentaire et enlever d’éventuelles taches. Il peut également conseiller des traitements supplémentaires si des problèmes tels que la parodontite sont détectés.
Prévention du tartre dentaire
Pour éviter la formation de tartre dentaire, il existe plusieurs pratiques d’hygiène bucco-dentaire recommandées :
- Se brosser les dents au moins deux fois par jour, en utilisant un dentifrice fluoré approprié pour renforcer l’émail.
- Utiliser quotidiennement du fil dentaire pour nettoyer les espaces interdentaires.
- Consulter régulièrement son dentiste pour des examens et détartrages, souvent remboursés par la sécurité sociale.
- Limiter les aliments sucrés et acides qui favorisent la formation de plaque dentaire.
- Eviter le tabagisme, qui est un facteur aggravant pour la santé bucco-dentaire.
Ces mesures préventives sont particulièrement cruciales pour les personnes âgées et celles souffrant de conditions médicales spécifiques qui augmentent le risque de tartre. Le respect de ces recommandations contribuant à maintenir des dents saines et éviter les problèmes dentaires à long terme.
Conclusion sur la gestion du tartre dentaire
La gestion du tartre dentaire nécessite un engagement constant en matière d’hygiène bucco-dentaire et des soins dentaires appropriés. En ajoutant des pratiques préventives à votre routine quotidienne, vous pouvez minimiser les risques d’accumulation de tartre et des complications associées. Dans les cas où le tartre s’est déjà formé, des traitements professionnels sont indispensables. Ces interventions, lorsqu’elles sont combinées à l’auto-soin, contribuent à garantir une santé bucco-dentaire optimale au fil du temps.
